25. Термин дежавю (Deja Vu) на самом деле происходит от французского «уже виденное».
Фото: commons.wikimedia.org
24. В некоторых случаях люди, которые испытывают дежавю, говорят, что оно напоминает сон, который они когда-то видели.
Фото: MaxPixel.com
23. Поскольку это ощущение является быстрым и случайным, дежавю трудно понять и изучить.
Фото: Pexels.com
22. Некоторые психологические исследования показали, что дежавю могут вызывать рутина, усталость и стрессовые ситуации.
Фото: Pexels.com
21. Во время изучения дежа вю Зигмунд Фрейд считал, что это чувство связано с памятью бессознательного сна.
Фото: Wikipedia Commons.com
20. В целом, количество случаев, когда индивид испытывает дежавю, уменьшается после 25 лет.
Фото: MaxPixel.com
19. Исследователи считают, что дежавю может напрямую зависеть от уровня допамина в мозге. Это также объясняет, почему молодые люди испытывают дежавю чаще.
Фото: commons.wikimedia.org
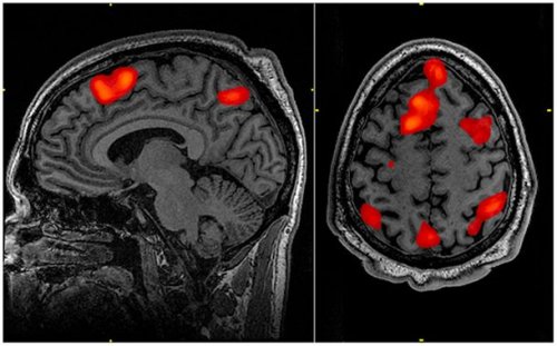
18. По результатам обзора многолетних исследований похоже, что после электрической стимуляции височной доли мозга пациенты, по их словам, испытывают сложные эмоции нереальности происходящего и дежавю.
Фото: commons.wikimedia.org
17. Дежавю может быть связано с тем, что ваш мозг не в состоянии правильно создавать воспоминание и во время переживания вами опыта формирует его дважды.
Фото: Wikipedia Commons.com
16. Одно из исследований показало, что две трети взрослых утверждают, что хотя бы раз в жизни испытывали дежавю.
Фото: flickr
15. Одна из теорий предполагает, что дежавю - это опыт, который вы испытали в параллельной Вселенной.
Фото: flickr
14. Есть два других вида дежавю: дежа энтенду (deja entendu), что означает, «уже слышанное» и дежа веку (deja vecu), что означает, «уже пережитое».
Фото: MaxPixel.com
13. Некоторые люди считают дежавю подсознательным шестым чувством.
Фото: Pexels.com
12. Путешественники испытывают дежавю чаще, чем те, которые не путешествуют. Это, скорее всего, происходит потому, что путешественники посещают более запоминающиеся и заметные места.
Фото: MaxPixel.com
11. Говорят, что люди, страдающие «психическими припадками», не имеют телесного опыта и дежавю.
Фото: Public Domain
10. Образование и социально-экономическое положение напрямую связано с тем, как часто человек испытывает дежавю. Похоже, что те, кто имеет высшее образование и более высокий социально-экономическим статус, могут испытывать дежавю чаще, чем находящиеся ниже по положению.
Фото: Pexels.com
9. Психоаналитики рассматривали дежавю как просто фантазию или исполненное желание.
Фото: commons.wikimedia.org
8. Чувство, противоположное дежавю, называется жамевю (Jaimas vu).Это когда кто-то находится в знакомой обстановке, но она кажется ему абсолютно незнакомой.
Фото: Pexels.com
7. Парапсихологи считают, что дежавю больше связано с прошлой жизнью человека. Когда вы испытываете дежавю, это память о вашей бывшей личности.
Фото: PxHere.com
6. Одним из возможных «включателей» дежавю является «расщепленное восприятие». Это происходит, когда вы бросаете первый короткий взгляд на объект, прежде, чем внимательно его рассмотреть.
Фото: en.wikipedia.org
5. В журнале The New Scientist ученые предположили, что дежавю может быть способом проверки памяти в вашем мозге. Если вы испытываете дежавю, это означает, что ваша память работает должным образом.
Фото: Wikipedia Commons.com
4. В университете штата Колорадо (Colorado State University) ученые-когнитивисты пытались пробудить дежавю с помощью виртуальной реальности. После того, как были созданы две комнаты, куда нужно было войти, пациенты сообщили о чувстве дежавю при входе во вторую комнату.
Фото: commons.wikimedia.org
3. Одна из теорий утверждает, что дежавю на самом деле просто сбой или перерыв на мгновение в нашей реальности.
Фото: flickr.com
2. Говорят, что причиной, по которой люди испытывают дежавю, является миндалина - часть нашего мозга, которая отвечает за эмоции.
Фото: Wikipedia Commons.com
1. Некоторые исследования утверждают, что дежавю может быть частью вещих снов, которая открывает нам окно в будущее.
Фото: Wikipedia Commons.com










