В современной психотерапии гипноз используется для доступа к глубинным причинам стрессов и травм, в борьбе с депрессией, бессонницей и только во благо пациента. Во время сеанса гипноза удается достичь максимального расслабления и концентрации на выздоровлении, похудении, отказе от вредных привычек и даже на обезболивании. Так что устраивайтесь поудобнее и приготовьтесь к подборке, которая изменит ваше мнение о гипнозе раз и навсегда!
25. Гипнотерапия и гипноз – это не одно и то же
Фото: Pixabay.com (Public Domain)
Гипнотерапия – это контролируемое введение человека в гипнотическое состояние. Эта методика используется только в медицинских целях, чтобы помочь пациенту преодолеть психологическую проблему, а иногда справиться даже с физическими недомоганиями.
24. Квалифицированные гипнотерапевты
Фото: Pixabay.com (Public Domain)
Гипнотерапией имеют право заниматься только лицензированные специалисты с соответствующей аккредитацией, хотя в большинстве стран мира законодательная база в этой сфере довольно неразвитая, и гипнотерапией иногда занимаются даже люди без медицинского образования.
23. Гипноз и курение
Фото: Oftenfun
Исследования доказали, что внушение во время гипнотического транса, действительно, может помочь человеку бросить курить.
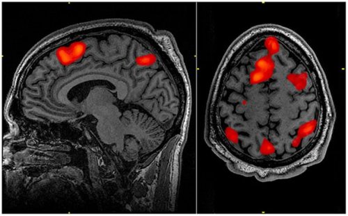
22. Влияние гипноза на наш мозг
Фото: Pixabay.com (Public Domain)
В ходе изучения реакций коры головного мозга было доказано, что под гипнозом мы на самом деле переходим в альтернативное нейропсихологическое состояние.
21. Гипноз и сон
Фото: Pixabay.com (Public Domain)
Гипноз, действительно, может помочь справиться с бессонницей и преодолеть лунатизм.
20. Невосприимчивость к гипнозу
Фото: Pixabay.com (Public Domain)
Некоторых людей загипнотизировать намного проще, чем других. Иными словами, они более «гипнабельные». Успех сеанса зависит не только от навыков гипнотизера, но и от того, легко ли поддается внушению его пациент (доброволец, подопытный).
19. Противопоказания
Фото: Pixabay.com (Public Domain)
Людям с серьезными психическими расстройствами гипноз строго противопоказан.
18. Стадии гипнотического транса
Фото: Wikipedia Commons.com (Public Domain)
У гипнотического транса есть 4 стадии: легкий или поверхностный транс, видимый сомнамбулизм, истинный сомнамбулизм и гипнотическая кома.
17. Гипноз и воспоминания
Фото: Wikipedia Commons.com (Public Domain)
С помощью гипноза специалистам иногда удается помочь пациенту вспомнить что-то очень важное, будь то события детских лет или местонахождение недавно утерянной вещи.
16. Самогипноз
Фото: Pixabay.com (Public Domain)
Самовнушение – это вид гипноза, во время которого вы программируете себя на позитивное мышление и меняете самовосприятие с помощью постоянного повторения определенных фраз.
15. Гипноз – это только часть терапии, а не ее замена
Фото: Ray Scrimgeour / flickr
Гипноз может быть очень полезным инструментом в лечении некоторых недугов, но это уж точно не полноценная альтернатива всем остальным методикам. Во время психотерапевтических сессий он должен сочетаться и с другими способами воздействия на пациента.
14. История гипноза
Фото: Rodrigo Elias Cardoso
Человечество знает о гипнозе уже достаточно давно – еще с тех древних времен, когда мы верили в колдовство и в магию. Однако научная история гипноза началась только в 18 веке, когда этой методикой впервые начал пользоваться немецкий врач и целитель Франц Месмер (Franz Mesmer).
13. Синдром дефицита внимания и гиперактивности
Фото: amenclinicsphotos ac / flickr
Не всем родителям, чьи дети страдают от синдрома дефицита внимания и гиперактивности, нравится прибегать к помощи многочисленных препаратов для лечения и коррекции поведения их ребенка. В качестве альтернативы некоторые врачи предлагают именно гипнотерапию. Исследования в этой области показали, что гипнотерапия помогает ребенку с СДВГ совладать со своими эмоциями, справляться со стрессом и повышает его самооценку.
12. Сценический или эстрадный гипноз
Фото: Nazareth College
Сценический гипноз – это отдельная тема для разговора. Во время подобных сеансов опытный гипнотизер управляет легко внушаемыми людьми с помощью психологических уловок. Как только фокусник находит свою идеальную жертву из числа добровольцев, весь зал ждет веселое представление. Многое зависит от готовности человека, вызвавшегося на сцену, сотрудничать с профессиональным менталистом. Как правило, такие гипнотизеры – просто грамотные манипуляторы. Бывает и так, что шоумен нанимает для своего представления обычного актера, и сценарий они оговаривают заранее.
11. Самовнушение в обычной жизни
Фото: tableatny
Если вам ну очень сильно не хватает самодисциплины, гипноз может оказаться очень полезным способом достичь желаемой цели. Не исключено, что в расслабленном состоянии легкого транса вам будет намного легче убедить себя в необходимости перемен.
10. Гипноз и роды
Фото: Pixabay.com (Public Domain)
Будь то самовнушение или помощь профессионального гипнотерапевта, исследования показали, что гипноз, действительно, помогает справиться с болью во время схваток и родов.
9. Гипноз и фобии
Фото: Laura Lewis / flickr
Гипноз реально помогает бороться со страхами и фобиями. В состоянии гипноза, когда пациент сталкивается с источником фобии, его мозг можно научить воспринимать информацию извне иначе и реагировать на нее другим образом.
8. Побочные эффекты
Фото: Wikipedia Commons.com (Public Domain)
Побочные эффекты от гипноза встречаются крайне редко, но среди возможных негативных последствий числятся головная боль, тревожность, сонливость, вялость или даже ложные воспоминания.
7. Лунатизм и гипноз
Фото: Wikipedia Commons.com (Public Domain)
Вопреки популярным сценам из кино, не верьте, что в гипнотическом сомнамбулизме (лунатизме) можно застрять. Напротив, гипнотерапия успешно применяется в лечении этого самого лунатизма и хождения во сне.
6. Способы введения в гипнотическое состояние
Фото: Wikipedia Commons.com (Public Domain)
Чтобы ввести пациента в состояние транса, гипнотерапевт обычно применяет определенные гипнотические техники, включая визуализацию, фиксацию взгляда и специфические физические позы.
5. Гипноз и обезболивание
Фото: Pexels.com (Public Domain)
Гипноз уже давно используют, чтобы помочь людям в преодолении боли. В случаях, когда фармакологические меры противопоказаны или не помогают, гипноз позволяет изменить восприятие больного, притупить его реакции и перенаправить его мысли в другое направление.
4. Мгновенный индукционный гипноз
Фото: Pixabay.com (Public Domain)
Для пациентов, страдающих от проблем с концентрацией, и не переносящих слишком длительное воздействие, некоторые гипнотизеры применяют мгновенный гипноз.
3. Гипноз и похудение
Фото: PublicDomainPictures.net (Public Domain)
Гипноз не стоит рассматривать как волшебную пилюлю от аппетита, но в сочетании с физической нагрузкой и правильным питанием гипноз все-таки может помочь вам достичь вожделенной стройности.
2. Одна из самых распространенных техник гипнотизирования
Фото: Pixabay.com (Public Domain)
Способов ввести человека в гипнотическое состояние много. Одна из самых популярных техник в этом направлении связана с лестницей. Во время сеанса гипнотизер предлагает пациенту совершить в своем воображении спуск вниз по лестнице, и по пути…
1. Гипноз и положительный настрой
Фото: MaxPixel.com (Public Domain)
Гипноз можно использовать для того, чтобы достучаться до вашего подсознания, устранить оттуда негативные установки и помочь обрести положительный настрой. С помощью такой гипнотерапии некоторые люди успешно обретают утраченную уверенность в себе и освобождаются от старых психологических травм.





